Fii Sanatos


Persoanele infectate cu gripă au un risc de dezvoltare a pneumoniei de 100 de ori mai mare

20/10/17 (3570 vizualizari)

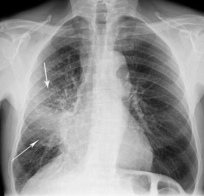
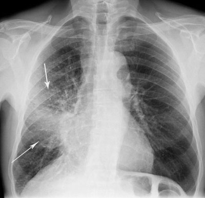
Oamenii de ştiinţă din Statele Unite au descoperit că riscul de a face pneumonie este de 100 de ori mai mare la persoanele infectate cu gripă, relatează un articol din revista Science Translational Medicine.

"Legătura dintre gripă și pneumonia pneumococică este prezentată clar în studiul nostru. Pe scurt, analiza noastră a relevat o influenţă de scurtă durată, dar semnificativă - creşterea de 100 de ori a riscului îmbolnăvirii de pneumonie pneumococică după o infecţie gripală, "- a declarat autorul principal al studiului Pezhman Rohani de la Universitatea din Michigan.

Anterior, relația dintre gripă și pneumonie a putut fi stabilită numai la animale. Rohani şi colegii săi au creat un model pe calculator de răspândire a pneumoniei bacteriene la om pentru a testa diferite ipoteze care descriu rolul gripei în acest proces. Oamenii de ştiinţă au evaluat conformitatea fiecărei ipoteze cu rapoartele epidemiologice pe parcursul a 20 de ani între 1989-2009, în care săptămânal erau înregistrate cazurile de spitalizare pe motiv de gripă şi pneumonie în Illinois.

Aceste observații confirmă ipoteza că sensibilitatea crescută a pacienților cu gripă la agenții patogeni ai pneumoniei durează timp de 5-7 zile de la infectare. Oamenii de ştiinţă au descoperit, de asemenea că, în perioada de vârf a sezonului epidemic - gripa a fost cauza a 40% din cazuri de pneumonie, iar media anuală a aceastei valori nu depășește 10%. Poate că acesta este motivul din care cercetările anterioare nu au reușit să demonstreze o relație între cele două boli. Fiți cu noi pe facebook: